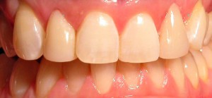
En Porslinsfasad/Skalfasad gör man för att ändra en tands färg, form eller position i käken. Man kan antingen bygga upp en fasad i kompositmaterial direkt i munnen. Eller så gör man en porslinsfasad som tillverkas av en tandtekniker och sen limmas fast på tanden. En porslinsfasad är lite starkare och bättre om man tex vill göra tanden längre. Vilken typ av fasad som passar bäst avgör tandläkaren och i båda fallen blir det ett väldigt fint resultat. Skillnaden mellan en porslinskrona och skalfasad är att en krona går runt hela tanden och en skalfasad är som en ny emalj som limmas fast på utsidan på tanden. Fördelen med en fasad är att man ofta knappt behöver slipa på tanden. Det är tandläkaren som vet om en krona eller fasad blir bäst. I båda fallen blir resultatet väldigt naturligt och snyggt. Färg och form bestäms tillsammans med patienten och ofta kan det vara bra att besöka tandtekniknern också. Vi samarbetar enbart med svenska tandtekniska laboratorier.







